Advanced Dental Clinic in Ravet
At Health Sphere: Dr. Borse’s Multispeciality clinic Ravet, we are committed to providing comprehensive dental care treatment with a focus on advanced technology and patient comfort. Our advanced dental care center is equipped with the latest tools and staffed by experienced dental professionals dedicated to your oral health.
If you're searching for an "advanced dental clinic near me," look no further than Health Sphere: Dr. Borse’s Multispeciality clinic Ravet.
Comprehensive Dental Care Treatment
Our clinic offers a wide range of dental care treatments to address all your oral health needs. Whether you're dealing with an acute dental issue or seeking routine care, our team is here to provide personalized, high-quality treatment.
Extruded or Partially Dislodged Tooth: An extruded tooth requires immediate attention. Our skilled dentists can reposition and stabilize the tooth, helping to prevent further damage and preserve your smile.Apply cold compress at affected area and see us ASAP to relieve pain.
Soft Tissue Injuries: Injuries to the gums, lips, or tongue can be painful and can bleed, thus requires prompt care. To control, rinse your mouth with mild salt water solution. To both control bleeding and relive pain, hold a cold compress in affected area for 5-10 minutes. If bleeding doesn’t stop, continue to apply pressure until you see us. We provide effective treatment for soft tissue injuries, ensuring quick relief and healing.
Infections: Dental infections can lead to serious complications if left untreated. It will not go away on its own. It’s a sign that something underlying is wrong which can end up in pain and swelling. Kindly visit us, our team offers comprehensive treatment for infection control including prescribing antibiotics and drainage procedures, to restore your oral health.
Tooth Sensitivity: Teeth Hypersensitivity is not an emergency though some people are sensitive to extreme temperature. If you experience tooth sensitivity, you can use OTC toothpaste that will reduce sensitivity until you see us. We can help diagnose the cause and provide effective treatments to reduce discomfort and protect your teeth.
Bleeding and Swelling: These should not be taken lightly as it could be a sign of gum disease or can indicate underlying issues. Call us right away. Our team will evaluate your condition and provide appropriate care to address the problem.
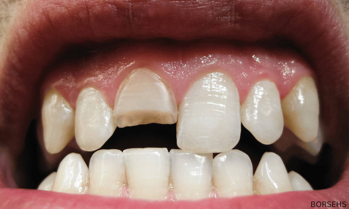
Broken Tooth: A broken tooth can be painful and can affect your appearance and functionality. We offer various solutions, including restorations, crowns, and veneers, to restore your tooth's function and looks.
Object Stuck in Tooth: If an object is stuck between your teeth, it can cause discomfort and infection. Our team can safely remove the object and provide relief. Do not force a sharp object to remove it, rather try using dental floss carefully. There could be small gap between teeth or cavity that can be treated with simple filling.
Lost Filling or Crown: Loosing a filling or crown can expose your tooth to damage or sensitivity or pain. Never try to use a superglue to fix it. Use a cotton swab to apply a little clove oil that can be purchased at any local drug store on the sensitive area. You cant do anything much on your own apart from seing us. We provide prompt replacement services to protect your tooth and restore its integrity.
Loosened Braces: If your braces become loose, it's essential to get them fixed quickly to avoid disrupting your treatment. Try to push the wire in position, if it has moved, use orthodonic wax which is usually given when the treatment starts or a small cotton ball to place on the wire or braces. Visit us so we can adjust and repair your braces to keep your treatment on track.
Painful Ulcers: Mouth ulcers can be painful and persistent. If it bothers you while eating, apply OTC anesthetic gel before meals to relive discomfort. If it stays longer visit us as we offer treatments to alleviate discomfort and promote healing, ensuring you can eat and speak comfortably with advanced technologies like Lasers for quick relief.
Dental Abscess: A dental abscess is a serious condition that requires immediate attention. It could appear as a pimple like swelling on yours gums. Rinse your mouth with salt water and contact us immediately. Our experienced dentists will provide drainage and antibiotic treatment as per requirement to eliminate the infection and prevent further complications.
Advanced Dental Clinic Near Me
Located in Ravet, Health Sphere: Dr. Borse’s Multispeciality clinic is your go-to advanced dental clinic for all your oral health needs. Our state-of-the-art facility and experienced team ensures that you receive the best care possible. We use the latest technology to provide effective and efficient treatments, ensuring optimal outcomes for our patients.
